24小时服务热线: 020-32653165
1
2020年12月10日,在巨清主任的带领下,神经医学科正式开科,2个多月的时间里,成功开展多例脑动脉瘤破裂开颅夹闭、多发脑动脉瘤开颅夹闭、脑动静脉畸形显微切除、脑膜瘤开颅显微切除术、高血压脑出血开颅显微镜下经侧裂岛叶血肿清除、高血压脑出血微创软通穿刺引流及多例外伤急性硬膜外血肿、急性硬膜下血肿开颅血肿清除术。神经医学科的成立及开展相关手术填补了我院在神经外科领域医疗技术的空白,是医院“技术强院”开展新技术、新业务浪潮中具体表现,真正做到大病不出区,为广大辖区居民的健康提供了强有力的保障! 神经医学科特殊病例展示1.高血压脑出血软通道精准定位单管穿刺治疗2.复杂危重高血压脑出血多管齐下软通道技术,术后一周余大量脑出血脑室出血已经被引流,脑室系统恢复正常3.前颅窝底硬脑膜动静脉瘘DSA造影(行开颅显微手术)4.三叉神经痛微血管减压手术5.微创血管内介入床突旁未破裂动脉瘤栓塞术6.镰旁巨大脑膜瘤、术前切口、手术标本大脑中动脉分叉部动脉瘤夹闭术四脑室髓母细胞瘤手术体位四脑室髓母细胞瘤术前核磁共振成像神经内镜下经鼻蝶入路垂体瘤切除术中三叉神经痛微血管减压术中责任血管(复杂性)三叉神经痛血管减压术中发现责任血管为静脉(少见)血泡样动脉瘤术中夹闭胸段脊髓神经鞘瘤术后半椎板脊突复位胸段脊髓神经鞘瘤术前核磁共振成像
2022 - 06 - 21
浏览: 0
1
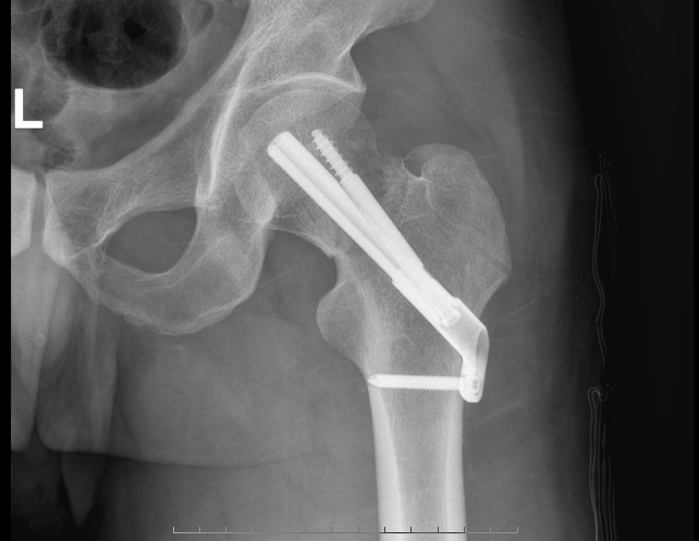
最近,家住洛溪的王阿姨不慎摔倒,自述髋部持续疼痛,无法动弹。随后在家人的陪同下到番禺区第二人民医院骨二科(创伤骨科)就诊,被诊断为右股骨颈骨折。股骨颈骨折属于髋部骨折,极易发生股骨头坏死,处理不当将严重影响患者的生活质量。王阿姨住入骨二科后,吴斌主任团队决定通过治疗股骨颈骨折微创新技术“FNS(股骨颈动力交叉钉系统)”,为王阿姨完成治疗。手术切口4cm,手术时间1个小时,出血量少;术后3天已经可以下床不负重活动了,手术效果让王阿姨及家人非常满意。术前影像资料:术后影像资料:为她主刀的吴斌主任介绍说:目前治疗股骨颈骨折,传统做法大致分为三类分别是:空心钉固定内固定、钢板螺钉固定以及关节置换。而“股骨颈动力交叉钉系统”,在番禺乃至广州尚属创新。FNS系统是目前国内外股骨颈骨折最新最前沿治疗方案。随访表明接受了“股骨颈动力交叉钉系统”治疗的患者,普遍反映恢复良好。吴斌主任还说到:FNS结合了空心钉和DSH的优势,具有微创、安全、稳定等一系列优点,有利于患者早期恢复,降低股骨头坏死几率。通过FNS技术,无论是骨折端的支撑稳定性还是角的旋转稳定性,均得到有效提升,同时不用置换关节就可以解决股骨颈骨折的问题,这是从治疗理念上的创新。这项治疗股骨颈骨折的前沿技术,给股骨颈骨折病人带来了福音。骨二科专家介绍 吴斌  骨二科(创伤骨科)主任骨外科副主任医师从事骨外科工作近20年。毕业于广东医科大学,曾到中山医科大学孙逸仙纪念医院骨外科进修。担任广东省医师协会骨科医师分会创伤骨科学组委员,广东省医学教育协会脊柱外科分会委员,广东省临床医学会足踝外科专业委员会委员,广东省基层医药创伤救治专委会委员,广东省康复医学会骨质疏松及相关疾病分会委员,广州市医师协会脊柱外科医师分会委员,番禺区医学会骨科分会委员。在国家级、省级医学期刊发表医学论文20余篇。擅长骨与关节损伤诊治。熟练开展骨盆、髋臼骨折切开、闭合复位内固定术及各种复杂四肢关节内骨折切开、闭合复位微创手术治疗。胸腰椎爆裂性骨折切开复位内固定,经皮椎弓根钉内固定术。骨质疏松性椎体压缩性骨折经皮穿刺椎体成形,后凸成形术。腰椎管狭窄症,腰椎间盘突出症、腰椎滑脱手术治疗及人工髖关节置换术。 骨二科专家门诊时间专家:吴斌副主任医师出诊时间:周四全天出诊地点:门诊大楼3楼创伤骨科门诊(骨科2号诊室)骨科门诊咨询电话:020-32653119
2022 - 06 - 21
浏览: 0
1
骨一科的病房里,韩学明主任、护士长邱芳英细心指导周奶奶术后首次下床活动; 收治高龄骨折老太 许下承诺年前康复出院2021年春节前半个月,81岁的周奶奶因摔伤至左侧股骨颈骨折到我院骨一科住院治疗。住院后经过诊查,周奶奶病情复杂,外伤致下肢股骨颈骨折,上肢桡骨小头骨折,颅内血肿等多达15项诊断,手术及围手术期风险极大。“韩主任,我们家老奶奶还有机会再站起来吗?”家属一脸担忧地向过来查房的韩学明主任咨询。韩主任看了一眼周奶奶,沉默了几秒,“放心吧,我们会尽全力让奶奶站起来,高高兴兴回家过年的。” 技术精湛敢打硬仗 多科协作保驾护航由于周奶奶除左侧股骨颈骨折外,还合并有颅内血肿,因此诊疗方案中,最大的难点是由于颅内出血不能在术前常规开展抗凝治疗,意味着手术后血栓风险非常高。为此韩学明主任带领医护团队组织术前讨论,联合神经医学科、骨二科、内科、心内科、麻醉科、ICU进行充分的术前评估。经过MDT多学科会诊后,骨一科团队胆大心细,在无抗凝条件下顺利完成手术,术后每日进行深静脉血栓风险评分,复查颅脑CT,颅内出血情况稳定后,在密切观察下开展抗凝治疗,并定期监测颅内出血情况,最终患者未出现抗凝的不良反应,未出现深静脉血栓并发症,在手术后患者第二天开始下床活动。周奶奶的主管医生、责任护士在韩学明主任、邱芳英护长的指导下,共同陪同周奶奶进行行走康复训练。骨一科的医护一体化康复工作模式,赢得了周奶奶及家属的一直好评。“没想到我们家81岁的老奶奶还能再站起来,真的是太感谢你们了!”过年前,周奶奶康复良好,已经可以自行下床散步了,骨一科医务人员用精湛技术、优质护理兑现了让周奶奶在春节前回家的承诺。 健康知多点目前老年髋部骨折的主要治疗方法包括保守卧床、切开或闭合复位内固定、全髋关节置换、股骨头置换。其中股骨头置换相对其他手术方式操作相对简单,风险可控,术后康复快,比较适用于股骨颈骨折头下型合并内科基础病较多的老年患者。一、什么是股骨头置换术?股骨头置换术是用人工假体替换病变的股骨头,以恢复关节正常活动功能的一种手术。二、股骨头置换术的适应症:主要用于髋臼状况尚好的下列情况,1.年龄大于60岁的老年股骨颈骨折Garden3、4型,伤前无骨关节炎症状;2.单纯股骨头颈粉碎骨折;3.股骨头缺血坏死Ficat3、4期,髋臼未明显受累;4.陈旧性股骨颈骨折骨不连;5.股骨头颈部良性肿瘤。
2022 - 06 - 21
浏览: 0
1
十月怀胎,一朝分娩,终于可以与宝宝见面了,对于准妈妈来说是期待已久的时刻,但是分娩时阵痛、产后身体不适,身份转变的彷徨,又令很多准妈妈们焦虑不安。 为了给孕产妇提供温馨、舒适、整洁的休养环境,番禺区第二人民医院产科正式启用家化产房家属陪产及产后温馨病房,全面升级分娩体验。在这里,产妇从“待产”到“分娩”到“恢复”,都能有亲人的陪伴,享受家的感觉。 一、病房温馨 处处关爱   改造升级后,温馨病房布局合理、功能完善、环境优美,以橙色及白色为主色调,多功能病床与家具色彩呼应,让人眼前一亮,给住院待产的孕妈妈们营造温馨的居家氛围。温馨病房为32平方大套房,套内设施一应俱全,处处体现关爱细节,充分满足孕产妇从入院到出院的医疗护理及生活需要。二、多元护理 亲情陪护   舒适的环境,可以让人心情更愉悦,也为我们的陪产、自由体位及无痛分娩等项目开展,提供了良好场所。分娩时,我们鼓励家属参与到产程中来,既减轻孕妇的紧张感,还满足其心理需求,让陪伴变得寸步不离,让分娩之旅不仅有护患间的真情,还有浓郁的亲情。 产后开展乳房低频脉冲电磁疗、预防血栓形成的气压治疗、产后姜水水疗、盆底康复等治疗,新生儿游浴、捏脊等服务,有利于建立良好的亲子关系,促进产妇泌乳及身体机能恢复;病房还安排专业月嫂帮忙护理孕妇及新生儿,让新妈妈放心、家人省心。 住院期间,产科副主任医师级以上职称专家及专科护士每日床边查房指导,为母婴安全和健康保驾护航。 三、特色技术 信心选择   1.配备胎儿监护及心电监护网络系统,能及时发现母胎异常而采取及时有效的治疗措施。2.开展自由体位分娩、分娩镇痛、产时穴位敷贴等,为孕妇解除对分娩的紧张恐惧心理。3.开展剖宫产术后切口的改良埋末褥式美容缝合术,减少剖宫产术后伤口疤痕形成。 在这里,不仅有时刻关注着您的家人,还有最专业的医护人员为您提供最精心的服务和最贴心的指导。
2022 - 06 - 21
浏览: 0
1
近日,我院神经医学科收治了一例颅内破裂动脉瘤女患者,黄女士的起始症状突发头颈部疼痛伴右眼睑下垂,黄女士的女儿对接诊医生说:“我妈妈突发头痛、右眼睁不开已经6天了,去了省内大三甲医院就诊,但是要排队等做检查,没得到及时治疗,今天她的头痛越来越严重,吓得我们赶紧叫救护车送过来了。” 凶险 脑内藏了一个动脉瘤番禺二院急诊科接诊后,值班医生考虑到脑出血的可能性,立即通知神经医学科会诊,开通危重症绿色通道,15分钟后放射科发来CTA报告,提示蛛网膜下腔出血,右侧颈内动脉后交通动脉瘤。这个结果对于黄女士来说,犹如晴天霹雳,“没想到我脑子里居然藏着一枚"定时炸弹"!太可怕了,幸好你们检查出来了。”入院后急行头颅CTA检查:右侧颈内动脉交通段一囊状凸起,5*9mm,瘤体指向外后方。关怀 保护外观 留住秀发黄女士与家属商议后,决定马上住院手术。虽然手术势在必行,但一想到要把头发剃光、头部还会留下一道触目惊心的伤疤,她就感到脊背发凉。“医生,一定要在头上开个大洞吗?有没有其他办法呀?”黄女士担忧地问道。巨清主任经过充分、缜密的评估,最后决定为黄女士实施经眉毛内微创切口,锁孔下手术。他认为,手术除了要成功处理病灶,也要充分考虑到患者的心理承受能力,保护患者的外观。 手术切口设计:右侧眉毛内2.0cm切口。 精准 眉弓切口2厘米巧拆“炸弹”完善各项术前准备后,在手术麻醉科的紧密配合下,神经医学科巨清主任团队开始手术。手术在全麻下进行,皮肤切口定于眉毛中,长度仅2厘米左右,开颅后形成的骨窗2厘米左右。手术进行得非常顺利,安全拆除“炸弹”,比传统手术方式创伤小,而且节省了一大半的时间,黄女士麻醉复苏后,对答切题,四肢活动正常。术后第二天,头痛症状明显好转,原先睁不开的眼睛也睁开了,更令她高兴的是,一头秀发真的是“毫发无损”。不由得赞叹在番禺二院会得到这么优质的治疗和护理!手术切口皮内美容缝合。 术后2小时复查头颅CT,无新发出血、脑梗塞发生。巨主任介绍说,当前神经外科的趋势,是朝着微创、创伤小、恢复快的理念在转变,通过最小的创伤获得最佳的疗效是神经外科医师长期追求的目标。经眉弓的锁孔手术将切口隐藏在眉毛中,切口小、术中出血少,患者术后的恢复也很快,真正达到了微创、美容的效果。作为微创手术的经典,经眉弓的锁孔手术应用范围非常广泛,不仅可以夹闭颅内多个部位的脑动脉瘤,而且还可以切除前颅底、鞍区的肿瘤等。  巨清主任指导黄女士进行功能锻炼。
2021 - 04 - 08
浏览: 0
1
最近,家住洛溪的王阿姨不慎摔倒,自述髋部持续疼痛,无法动弹。随后在家人的陪同下到番禺区第二人民医院骨二科(创伤骨科)就诊,被诊断为右股骨颈骨折。股骨颈骨折属于髋部骨折,极易发生股骨头坏死,处理不当将严重影响患者的生活质量。王阿姨住入骨二科后,吴斌主任团队决定通过治疗股骨颈骨折微创新技术“FNS(股骨颈动力交叉钉系统)”,为王阿姨完成治疗。手术切口4cm,手术时间1个小时,出血量少;术后3天已经可以下床不负重活动了,手术效果让王阿姨及家人非常满意。 术前影像资料:  术后影像资料: 为她主刀的吴斌主任介绍说:目前治疗股骨颈骨折,传统做法大致分为三类分别是:空心钉固定内固定、钢板螺钉固定以及关节置换。而“股骨颈动力交叉钉系统”,在番禺乃至广州尚属创新。FNS系统是目前国内外股骨颈骨折最新最前沿治疗方案。随访表明接受了“股骨颈动力交叉钉系统”治疗的患者,普遍反映恢复良好。吴斌主任还说到:FNS结合了空心钉和DSH的优势,具有微创、安全、稳定等一系列优点,有利于患者早期恢复,降低股骨头坏死几率。通过FNS技术,无论是骨折端的支撑稳定性还是角的旋转稳定性,均得到有效提升,同时不用置换关节就可以解决股骨颈骨折的问题,这是从治疗理念上的创新。这项治疗股骨颈骨折的前沿技术,给股骨颈骨折病人带来了福音。 骨二科专家介绍  吴斌  骨二科(创伤骨科)主任骨外科副主任医师从事骨外科工作近20年。毕业于广东医科大学,曾到中山医科大学孙逸仙纪念医院骨外科进修。担任广东省医师协会骨科医师分会创伤骨科学组委员,广东省医学教育协会脊柱外科分会委员,广东省临床医学会足踝外科专业委员会委员,广东省基层医药创伤救治专委会委员,广东省康复医学会骨质疏松及相关疾病分会委员,广州市医师协会脊柱外科医师分会委员,番禺区医学会骨科分会委员。在国家级、省级医学期刊发表医学论文20余篇。擅长骨与关节损伤诊治。熟练开展骨盆、髋臼骨折切开、闭合复位内固定术及各种复杂四肢关节内骨折切开、闭合复位微创手术治疗。胸腰椎爆裂性骨折切开复位内固定,经皮椎弓根钉内固定术。骨质疏松性椎体压缩性骨折经皮穿刺椎体成形,后凸成形术。腰椎管狭窄症,腰椎间盘突出症、腰椎滑脱手术治疗及人工髖关节置换术。 骨二科专家门诊时间专家:吴斌副主任医师出诊时间:周四全天出诊地点:门诊大楼3楼创伤骨科门诊(骨科2号诊室)骨科门诊咨询电话:020-32653119
2021 - 04 - 07
浏览: 0
1
骨一科的病房里,韩学明主任、护士长邱芳英细心指导周奶奶术后首次下床活动; 收治高龄骨折老太 许下承诺年前康复出院2021年春节前半个月,81岁的周奶奶因摔伤至左侧股骨颈骨折到我院骨一科住院治疗。住院后经过诊查,周奶奶病情复杂,外伤致下肢股骨颈骨折,上肢桡骨小头骨折,颅内血肿等多达15项诊断,手术及围手术期风险极大。“韩主任,我们家老奶奶还有机会再站起来吗?”几位家属围着过来查房的韩学明主任,一脸担忧。韩主任看了一眼周奶奶,沉默了几秒,“放心吧,我们会尽全力让奶奶站起来,高高兴兴回家过年的。” 技术精湛敢打硬仗 多科协作保驾护航由于周奶奶除左侧股骨颈骨折外,还合并有颅内血肿,因此诊疗方案中,最大的难点是由于颅内出血不能在术前常规开展抗凝治疗,意味着手术后血栓风险非常高。为此韩学明主任带领医护团队组织术前讨论,联合神经医学科、骨二科、内科、心内科、麻醉科、ICU进行充分的术前评估。经过MDT多学科会诊后,骨一科团队胆大心细,在无抗凝条件下顺利完成手术,术后每日进行深静脉血栓风险评分,复查颅脑CT,颅内出血情况稳定后,在密切观察下开展抗凝治疗,并定期监测颅内出血情况,最终患者未出现抗凝的不良反应,未出现深静脉血栓并发症,在手术后患者第二天开始下床活动。周奶奶的主管医生、责任护士在韩学明主任、邱芳英护长的指导下,共同陪同周奶奶进行行走康复训练。骨一科的医护一体化康复工作模式,赢得了周奶奶及家属的一直好评。“没想到我们家81岁的老奶奶还能再站起来,真的是太感谢你们了!”过年前,周奶奶康复良好,已经可以自行下床散步了,骨一科医务人员用精湛技术、优质护理兑现了让周奶奶在春节前回家的承诺。 健康知多点目前老年髋部骨折的主要治疗方法包括保守卧床、切开或闭合复位内固定、全髋关节置换、股骨头置换。其中股骨头置换相对其他手术方式操作相对简单,风险可控,术后康复快,比较适用于股骨颈骨折头下型合并内科基础病较多的老年患者。一、什么是股骨头置换术?股骨头置换术是用人工假体替换病变的股骨头,以恢复关节正常活动功能的一种手术。二、股骨头置换术的适应症:主要用于髋臼状况尚好的下列情况,1.年龄大于60岁的老年股骨颈骨折Garden3、4型,伤前无骨关节炎症状;2.单纯股骨头颈粉碎骨折;3.股骨头缺血坏死Ficat3、4期,髋臼未明显受累;4.陈旧性股骨颈骨折骨不连;5.股骨头颈部良性肿瘤。
2021 - 03 - 09
浏览: 0
1
近日,我院妇科病房住进了两位特殊患者。病例一陆女士,50岁,半年前出现阴道不规则流血,自以为是女性自然衰老的过程,未重视未就诊。2月前因为阴道不规则流血持续时间长且量多至我院妇科门诊就诊,行分段诊刮病理检查结果示(宫腔、宫颈)见短梭形细胞增生,考虑子宫内膜间质肿瘤。医生立即建议陆女士住院手术治疗,突如其来的结果让她有所顾虑未采纳建议,后来几次随访中得知我科操胜斌主任做妇科肿瘤手术技术快、准、美,随即改变了主意下定决心住院治疗。1月5日,陆女士至我院复诊入院,在完善术前各项检查及做好充分准备后,在我院妇科主任操胜斌的带领下,妇科团队为陆女士进行了经腹全子宫双附件切除术+肠粘连松解+盆腔淋巴结清扫术,手术快,出血少。见(图一、图二)术后诊断:低级别子宫内膜间质肉瘤1b期。现患者恢复良好已出院。妇科操胜斌主任带领妇科团队为陆女士实施手术 病例二邱女士,48岁,半年前出现白带增多、异常,伴有夫妻生活后出现不规则阴道流血,阴道流血时有时无。认为只是普通妇科炎症,多次自行服用治疗妇科炎症的药物。由于白带异常及阴道不规则流血症状一直无好转,12月底至我院妇科门诊就诊,门诊行宫颈癌筛查提示高级别病变,行宫颈活检病理回报宫颈鳞癌,完善辅助检查诊断为宫颈鳞癌1b2期。完善术前准备后,由妇科主任操胜斌团队对邱女士行宫颈癌根治术,手术出血少,时间短,对患者身体损伤小。不仅为邱女士一家节省了经济费用,还为她省去了转诊周折之苦。邱女士术后恢复良好,出院前她及家属对操胜斌主任、妇科医护团队竖起大拇指,医者仁心,点赞!                          术中为患者进行淋巴清扫        白带异常、不规则阴道流血,是非常常见的妇科病症。但很多人认为这类症状普遍存在,并未引起不重视,不及时就医,错过早期最佳治疗时机。  子宫内膜间质肉瘤是一种恶性程度较高的肿瘤,复发率高,预后差,5年生存率为20%-30%。预后与肉瘤类型、恶性程度、肿瘤分期、有无转移及治疗方法有关。早期发现子宫肉瘤,并进行手术方式的合理选择,彻底手术,加上术后辅助治疗是目前我们对子宫肉瘤所能采取的主要措施。 宫颈癌是最常见的妇科恶性肿瘤,高发年龄在50-55岁,现有年轻化趋势。是目前所有癌症中唯一病因明确(高危型HPV)、唯一可以早期预防和治疗、唯一有希望彻底根除的癌症。因此,只要定期进行科学合理的筛查和随访,女性朋友们就能远离这一最常见的妇科恶性肿瘤。在此呼吁广大女性朋友,要重视身体反馈给我们的每一个信号,不要让这些信号成为我们的健康杀手!愿我们的生命之花如这向日葵般阳光、灿烂!       正常女性生殖图                                                                   
2021 - 02 - 24
浏览: 0
1
2020年8月至今,骨一科顺利开展多例椎间孔镜微创手术,术中、术后并发症较少,恢复快,术后疗效好,为腰间盘突出和椎管狭窄患者提供更微创、更精准、更优质的诊疗服务。张阿姨年近70岁,腰部疼痛伴左下肢放射性疼痛麻木十余年,每年发作多次,严重时左下肢放射麻痛严重,无法下地行走,经多年多次保守治疗没能明显好转。近3个月来左下肢麻木胀痛持续加重,经治疗一直不能缓解,经过CT检查,发现张阿姨腰4-5椎间盘巨大左旁型脱出,伴有腰椎管狭窄,腰5左侧神经根卡压严重。经过全面查体,发现张阿姨还有高血压,心脏供血不足疾病,同时本人及家属不愿采取开放手术,我们建议采取椎间孔镜技术摘除脱出椎间盘。椎间孔镜手术是当前最先进的脊柱微创手术,对于椎间盘脱出、大部分游离及钙化,部分椎间孔、椎管狭窄等有着立竿见影的效果。相对于传统手术,它的手术创伤小:皮肤切口仅7mm,如同一个黄豆粒大小,出血不到20ml,术后仅缝1针。手术的满意疗效可以达到75%--90%。是同类手术中对病人创伤最小、效果最好的椎间盘突出微创治疗。
2020 - 12 - 31
浏览: 0
1
消化内科正确及时地解决消化领域的疑难杂症,成功抢救了消化道大出血、急性重症胰腺炎等危重病例,开展的内镜下治疗技术水平已经达到区内前列。其中无痛胃肠镜检查和治疗,得到了患者的普遍认可。1 
2020 - 05 - 10
浏览: 32
1
外  科普外科开展的硬镜微创取石保胆技术对胆囊结石(息肉)进行系统的保胆治疗。在取石保胆技术上,总结出“推、挤、压、撕、撑、冲、吸”等独特的取石手法,创造性地开展胆囊镜下止血技术、碎石技术,胆囊粘膜固定和保护技术,胆囊壁间结石诊疗技术等。每年都有数百名胆囊疾病患者慕名前来治疗,其中不乏国外的患者。泌尿外科以腔镜泌尿外科为重点,开展经尿道前列腺电切术、经尿道膀胱肿瘤电切术、经尿道膀胱碎石取石术、经尿道输尿管镜检查术、经尿道输尿管镜碎石取石术和内镜治疗尿道狭窄,并开展肾癌、膀胱癌的根治手术,复杂泌尿系结石的开放取石手术及尿道损伤的诊疗。
2019 - 02 - 10
浏览: 114
1
儿  科对各种小儿危重症有着丰富的抢救经验。抢救了大量的危重患儿,重症肺炎、腹泻病伴重度脱水、肝前性门脉高压症并消化道大出血、极重型血小板减少性紫癜等患儿在这里得到成功救治。 
2019 - 02 - 10
浏览: 79
1
为心脏助力 为健康加油——体外反搏治疗技术 近年来,冠心病的血运重建技术飞速发展,作为一种有效的心脏康复治疗,体外反搏是一种安全、无创的治疗缺血性疾病的辅助循环方法,是心脏康复的核心技术之一。 什么是体外反搏体外反搏治疗是用外力促进血液循环的一种辅助治病方法,无创伤,安全有效。目前已被广泛应用于临床。另外,体外反搏还具有降低血液粘度和抗自由基的作用,这些都有利于缺血性脑血管病恢复。 体外反搏的治疗原理体外反搏的治疗原理:在小腿、大腿、臀部分别包扎上气囊,利用心电触发,在心脏舒张时(也就是四肢的血液往心脏涌动地时候),从小腿、大腿、臀部序贯性地逐段加压,驱动血液回返,增加回返心脏的血量,促进冠状动脉侧支循环的建立。当心脏收缩并向全身供血的时候,它又放松气囊,收缩外周阻力,减轻心脏负担,改善心脏功能。这一紧一松的治疗原理按摩了双腿与臀部,改善了末稍循环。 体外反搏的诊治范畴体外反搏治疗不但能治疗各脏器的缺血状况,还是预防和治疗动脉粥样硬化性疾病的重要手段之一,主要用于治疗各种缺血性疾病,包括:冠心病、心绞痛、心肌缺血、陈旧性心肌梗塞、心肌炎后遗症、脑动脉硬化、脑供血不足、脑血管意外后遗症、缺血性视神经病变,视神经萎缩、中心浆液性脉络膜炎、眼底中央动脉硬化、血栓闭塞性脉管炎、动脉硬化血管闭塞、糖尿病引起的血流障碍、缺血性肾病、突发性耳聋、肝炎的康复与保健、运动性病劳的恢复。对许多慢性病,如糖尿病、高血压、胃溃疡、十二指肠溃疡、盆腔炎等有一定疗效。                                                               作者:黄咏梅  
2019 - 02 - 02
浏览: 0
1
 提起胃镜,我们应该都不陌生,但要是说到支气管镜,就不是很熟悉了。为了帮助大家正确认识支气管镜检查,今天就让小编为大家介绍一下支气管镜检查吧。   什么是支气管镜检查? 支气管镜检查是将纤维支气管镜经鼻或口腔咽喉部插入气管、支气管,直接观察其中病变,能为呼吸系统疾病的诊断和治疗提供依据的一项检查手段。进行支气管镜检查时,虽然支气管镜占用了一部分的气管空间,但氧气会从另一侧鼻孔源源不断的进入气管,不会有窒息的风险。而且支气管镜镜身细,所以有足够空间进行气流输注。在检查过程中,医生会通过支气管镜注入麻药,减少支气管粘膜敏感性。在操作过程中,医生也会不断地教给患者减少咳嗽、平稳呼吸的方法,并且认真做好生命体征的监测。    什么时候可以进行支气管检查呢? 如果出现以下症状,建议您尽早进行支气管镜检查:不明原因的咯血、慢性咳嗽、局限性哮鸣音、X-线胸片或肺部CT检查提示肺不张、肺部块影、肺门和(或)纵隔淋巴结肿大、肺部弥漫性病变、肺或支气管感染治疗效果不佳等。我院现阶段的支气管镜检查,除常规的内镜下检查外,还开展了刷检、病理活检、肺泡冲洗、深部痰收集等项目。同时为提升我院医疗综合能力,更好的方便群众、服务患者,支气管镜下的介入治疗也已经提上日程,敬请期待。 通过支气管镜检查,我们可以发现影像学上不能明确的病灶,发现CT中未能发现的支气管腔内病变。在治疗阶段,通过支气管镜的操作,可以进行支气管异物的取出、清除呼吸道异常分泌物、对咯血进行局部止血。 我院发现的左上叶支气管粘膜结核,CT检查为左下叶感染灶                                      支气管镜检查就是这样一个能倾听“肺腑”之言的检查。作为呼吸科三大检查手段之一,支气管镜检查是诊断支气管腔内病变的方法,也是明确病变性质很有必要的一项检查手段。                                       内科刘斌 
2018 - 12 - 21
浏览: 0
联系我们
24小时热线:020-32653165
预约挂号热线:020-32653176
地址:广州市番禺区大石街群贤路138号(广东省疾控中心旁,地铁3号线大石站D出口东侧500米)
微信服务号
微信订阅号
Copyright © 广州市番禺区第二人民医院 All Rights Reserved.